שתפו

טיפולי שורש מתקדמים (אנדודונטיה, אפיסקטומי) בעזרת מיקרוסוקופ

במרפאתנו ד"ר אורטל קסטל-ברוך, מומחית לטיפולי שורש (אנדודונטיה) אחראית על טיפולי השורש המסובכים. תארו לעצמכם מצב מתסכל של כתר שהינו תקין וטוב בפה, אך יש זיהום קשה בגלל טיפול שורש שלא בוצע במומחיות או נכשל בגלל העדר מיכשור מודרני ומיוחד… 

טיפולי השורש במרפאתנו מבוצעים בעזרת מיכשורים מיוחדים שלא קיימים בכל מרפאה, כגון:מיקרוסקופ דנטלי אנדודונטי, ממקמי חוד אלקטרוניים ("GPS לתעלות השורש"), פוצרים גמישים (מיכשור מיוחד מסגסוגת ניקל-טיטניום), pulp tester (בודק מוך אלקטרוני), apixia – סורק רנטגני דיגיטלי ועוד

בניגוד לשלל פרסומות מטעות, איננו מבטיחים פתרונות קסם וסיום כל בעיות השיניים ביום אחד: הכל אפשרי מבחינה טכנית, אך מבחינת המטופל אחוזי ההצלחה יורדים. ניתן למצוא פתרונות לכל מצב קיים, אך מומלץ לבצע טיפולי שורש, כירורגיה ושיקום בצורה יסודית וקפדנית, בכדי להעניק שלווה וביטחון בתוצאה לזמן רב ככל האפשר. ביצוע טיפולי שורש ע"י מומחה לטיפולי שורש ובעזרת ציוד מתקדם, כגון מיקרוסקופ אנדודונטי, מודדי תעלות אלקטרוניים ועוד, הינו בעל סיכויי ההצלחה הגבוהים ביותר וימנע ברוב המקרים צורך בטיפולים חוזרים לאחר מספר שנים בגין דלקות חוזרות. יתר על כן, המתנה של מספר ימים לאחר סיום טיפול השורש ועד לביצוע מבנה וכתר זמני הינה חשובה, גם כדי לתת לחומרים בסתימת השורש להתקשות ולהתייבש, גם כדי לא לקלקל את איכות סתימת השורש שבוצעה, וגם לעיתים יש להמתין עד חלוף הכאב, אם קיים

ד"ר אורטל קסלר-ברוך - מומחית לטיפולי שורש (אנדודונטיה)

תעלת השורש היא מרחב קטן מאוד. טיפול שורש צריך לנקות אותה ולסתום אותה ברמת דיוק של עשיריות המילימטר על מנת להגיע לתוצאה טובה ואמינה. הקושי להגיע לדיוק הזה במקום קטן וחשוך מרתיע רופאים רבים מלבצע טיפולי שורש ומתסכל רבים אחרים. מבחינתי זה אתגר. ועוד דבר, לא כל טיפול שורש חייב לכאוב".

  • רופאת שיניים בוגרת הפקולטה לרפואת שיניים של האוניברסיטה העברית הדסה עין כרם ירושלים משנת 2008 (תעודת הצטיינות)

  • בוגרת התמחות באנדודונטיה (טיפולי שורש) בפקולטה לרפואת שיניים של האוניברסיטה העברית הדסה עין כרם ירושלים ובעלת רישיון מומחה לטיולי שורש מטעם משרד הבריאות.

  • בשירות בקבע הייתה רמ"ד אמון – אחראית על רופאי השיניים בשירות הקבע במרפאות צהליות.

  • השתלמה בנושאים ציפויי חרסינה ושחזורים אסתטיים, קומפוזיטים, סדציה ב- N2O, שימוש בפוצרי NiTi, מיקרוסקופ אנדודונטי ועוד. 

  • מאז סיום לימודיה שרתה כקצינת רפואה בצה״ל במרפאות שיניים בבסיס פלמחים ובמחלקה לטיפולי שורש בתל השומר. במסגרת תפקידה עסקה בטיפול משמר באוכלוסיית חיילי חובה וקבע

  • פרסמה מאמרים רבים בספרות המקצועית המקומית והעולמית 

ההחלטה לגבי ביצוע טיפול שורש או חידוש טיפול שורש מאוד שונה ממקרה למקרה ומאדם לאדם. בעיקר תלויה בגורמים אלו:

1. האם יש דלקת בעצב (מוך) השן 

2. גם אם אין דלקת/כאבים, האם העששת כה עמוקה שהגיעה עד לעצב השן ואי אפשר לבצע "סתימה רגילה"

3. אם המצב גבולי מאוד, האם ניסו לבצע "כיפוי מוך" והנ"ל לא הצליח, או שטרם ניסו

4. האם חלקים מהשן שבורים או נרקבו כך בצורה כה נרחבת שהשארת השן ללא כתר עלול לסכן את הישרדותה בפה והיא עלולה להישבר בהמשך כך שיצטרכו כבר לעקור שן זו

5. אם כבר יש טיפול שורש ויש דלקת זיהומית חוזרת, האם אפשרי יהיה לבצע חידוש טיפול שורש, או שהמצב כבר בלתי הפיך והשן מיועדת לעקירה (למשל בעקבות סדק בשורש)

בטיפול שורש יש שני שלבים, בדרך כלל:

1. הוצאת העצב הדלקתי וכלי הדם שבתוך מוך השן (החלק הפנימי ביותר של השן) ובתוך תעלות השורש. בשלב זה גם מניחים בתוך השן חומרים מיוחדים שמסייעים להתמודד עם הדלקת ועם הכאבים. 

2. ביצוע סתימת שורש אטומה ואיכותית בכל תעלות השורש, לכל אורכן ורוחבן, בכדי להשמיד סופית את כל החיידקים ולאטום בפניהם אפשרות של חזרה לתוך השן והגוף, וליצור מוקד דלקת חדשה.

* בחידוש טיפול שורש יש לבצע בתחילה את הסרת הכתר ו/או המבנה שבוצע לאחר טיפול השורש הקודם, ורק אז להתחיל בתהליך חידוש טיפול השורש, דהיינו סילוק כל החומרים הקיימים בשן, מציאת כל תעלות השורש וביצוע חיטוי מלא בהן עד למיגור הדלקת, ולסיום ביצוע סתימת התעלות בחומרים מיוחדים שמכונים "סתימת השורש".

  • מטופלים רבים מתוסכלים לאחר שעברו טיפולי שורש וכתרי חרסינה, והשן ממשיכה לכאוב, או שמתחילה לכאוב לאחר זמן ממושך שהייתה "שקטה". הבעיה העיקרית שבגללה טיפולי שורש אינם מצליחים ומתפתחים דלקת וכאבים הינה כישלון טיפול השורש שבוצע.

  • לדוגמא, אם בוצע טיפול שורש אך הרופא לא הצליח להגיע אל החלק האחרון של תעלת השורש, הרי שנותרו חיידקים וזיהום בחלק זה. שיניים שהינן בעלות תעלות שורש צרות ומפותלות, ובמיוחד השיניים הטוחנות, מועדות לכישלונות מסוג זה.

  • דוגמא אחרת היא טיפול שורש בשן שבה יש מספר תעלות בעצב, והרופא לא מצא את כל התעלות – ולכן באחת התעלות או יותר נותרו חיידקים וזיהום. גם כאן השיניים הטוחנות, ובמיוחד הטוחנות העליונות, נחשבות "בעיתיות" ביותר. ממחקרים מודרניים מתברר כי בערך 90% מהשיניים הטוחנות העליונות הראשונות מכילות 4 תעלות שורש, ואילו הרופא הממוצע עלול למצוא רק 3 תעלות שורש ומטפל רק בהן… 

  • בשתי הדוגמאות הנ"ל גם אם אין כאבים והשן קיבלה כתר איכותי, הרי שמראש טיפול השורש למעשה נכשל, ולאחר זמן מה יצוצו שוב הכאבים והדלקת. ברבות הזמן חיידקים אלו שוב יתרבו וישגשגו, והזיהום שייצרו יתפשט אל קצה השורש ומעבר אליו – לעצם ולרקמות שסביב השורש. בצילום הרנטגן נראה איזור כהה, מוצלל, סביב שורש השן, שמעיד על הדלקת. במילים אחרות – כישלון של טיפול השורש.

אם בבדיקה רנטגנית מתגלה טיפול שורש לקוי ו/או איזור דלקת סביב שורשי השיניים, על הרופא להסביר את המצב למטופל ולהתריע בפניו על הסכנות הטמונות לשן זו. רגע לפני שעוקרים שן רקובה שהתפתחה בה דלקת בעצב, או שן שסביב טיפול שורש ישן התפתחה דלקת, כדאי לבדוק את האפשרות של הצלת השן, ע"י טיפול שורש או חידוש טיפול שורש. לעיתים אין ברירה ויש צורך בטיפול כירורגי אנדודונטי שנקרא אפיסקטומי, ובו מוסר בצורה כירורגית קצה השורש הדלקתי

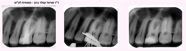
דוגמא לטיפול שורש במיקרוסקופ בשן טוחנת עם אנטומיה חריגה - 6 תעלות שורש

דוגמא לאפיסקטומי
(טיפול אנדודונטי כירורגי לקיטום חוד שורש דלקתי) ולסתימה רטרוגרדית

שלבי העששת: מחור קטן ועד טיפול שורש וכתר חלקי השן השונים

לעיתים מגיעים לטיפול חירום במרפאה בגלל כאבים קשים ביותר שנגרמו עקב דלקת בעצב השן ו/או נמק בעצב השן. במצב זה לעיתים יש לבצע הרדמה וטיפול שנקרא אקסטירפציה עוד לפני שמגיעים לטיפול השורש. יש לקחת משככי כאבים בהתאם,  ויש לשקול מתן אנטיביוטיקה. מתן אנטיביוטיקה לבד לא תפתור את הבעייה ואינה טיפול יעיל.

לאחר טיפול זה אין לאכול על השן עד לגמר טיפול השורש וביצוע מבנה וכתר זמני –  השן עלולה להיסדק ולהישבר סופית, ואז עלול להיות צורך בעקירה במקום טיפול בשן ושיקומה

מומלץ לבצע טיפולים מסובכים אלו ע"י רופא שיניים שהתמחה בטיפולי שורש (אנדודונט), ובעזרת מכשירים מיוחדים (שכמובן נמצאים במרפאתנו). לאחר טיפול השורש אין לאכול על השן ולהגיע בהקדם לביצוע שיקום, בדר"כ ע"י מבנה ללא מתכת (פייבר-פוסט), כתר זמני ולאחריו כתר סופי איכותי (בדר"כ זירקוניה טהורה או חרסינה טהורה או שילוב של זירקוניה וחרסינה).

מיקרוסקופ דנטלי אנדודונטי

 במרפאה מותקן מכשיר מיוחד שנקרא מיקרוסקופ אנדודונטי דנטלי, מאחת החברות הידועות בעולם בתחום זה – KAPS, והוא מיועד למקרים מסובכים במיוחד בהם יש קושי באיתור תעלות השורש. מומלץ להיעזר במיקרוסקופ דנטלי, להגדלה מקסימלית של האיזור המטופל, ולמניעת קדיחות מיותרות בחומר שן בריא, ולמניעת "פספוס" של תעלת שורש עם פתח קטן במיוחד. בעזרת המיקרוסקופ המיוחד רואה הרופא בהגדלה פי 20 את השן, מזהה בקלות רבה יותר את פתחי תעלות השורש ואת תעלות השורש עצמן ללא קדיחות מיותרות, ומבצע בקלות יותר את טיפול השורש המסובך, ברמה גבוהה ובאיכות רבה מהרגיל.

ממקמי חוד אלקטרוניים ("GPS לתעלות השורש")

מכשיר אלקטרוני שנותן הדמייה של תעלת השורש ושל המיכשור הנמצא בתוכה, ומכוון את הרופא והמיכשור בתוך תעלות השורש. מאפשר דיוק מירבי בעבודה עד קצה התעלה, דבר המחסל שאריות חיידקים גם בקצה המרוחק של התעלה, וחוסך צילומי רנטגן רבים שנועדו לוידוא המיקום המדוייק.

 

פוצרים גמישים: מיכשור מיוחד מסגסוגת ניקל-טיטניום

אחת הבעיות הגדולות היא שן שבה תעלות השורש מעוקלות ומפותלות. שימוש במיכשור מתכתי רגיל עלול להוביל לניקוב וסדיקת שורש השן, ולצורך בעקירה. התופעה אופיינית במיוחד בשיניים הטוחנות. בכדי למנוע נזק זה, אנו משתמשים במיכשור מיוחד עשוי מתכת גמישה וחזקה (סגסוגת ניקל-טיטניום), שמסוגלת להתעקל ולהתפתל בתוך תעלות השורש ללא נזק לקירות השור

X-SMART - מנוע חדשני שעשה מהפיכה בתחום טיפולי שורש עם פוצרים רוטטוריים

מכשיר מיוחד זה הינו מנוע נפרד וחכם לצורך טיפולי שורש בלבד, לעומת חיבור רגיל של מקדחה רגילה המכשיר הנ"ל כולל בקרה אלקטרונית על המהירות ועל הלחץ והעומס (TORQUE) אשר מופעל בעת טיפול השורש על הפוצר, זאת בכדי להקטין את הסיכון לשבר ולעבודה בטוחה יותר מהרגיל

מכשיר אלפא אוסאדה לדחיסת גוטה פרקה חמה

מכשיר Fi-P, מבית וודפקר, הוא מכשיר מתקדם לריכוך גוטה פרקה ולדחיסתה בתעלות השורש לשם איטום התעלות לאחר טיפול שורש. דחיסה חמה של חומר האיטום מאפשרת איטום תלת-ממדי של התעלה, לשיפור סיכויי הצלחת טיפול השורש.

pulp tester - בודק אלקטרוני לחיות המוך/נמק מוך

המוך הוא חלק השן שבו נמצאים העצבים וכלי דם. במצב דלקת קשה לעיתים המוך הופך נמקי. הpulp tester מסייע באבחנה נכונה של מקרים מסובכים, וכן של עוצמת ההרדמה

apixia - סורק רנטגני דיגיטלי

במרפאה מותקן סורק רנטגני דיגיטלי חדיש שמאפשר לאבחנה מדוייקת ומהירה, עם שימוש בקרינת רנטגן מופחתת: קיצור משמעותי באבחנה של צילומי הרנטגן, מדידה אלקטרונית של אורכים שונים, השוואה בין מצבים שלפני טיפול ואחריו ועוד.

ד"ר יולי ברלין-ברונר - מומחית לטיפולי שורש (אנדודונטיה)

חור עמוק בשן עלול לגרום לזיהום ודלקת במוך השן (החלק הפנימי של השן המכיל כלי דם וסיבי עצב רגישים). הכאב יכול להיות עמום (חלש) בהתחלה ויימשך שעות וימים ארוכים, אך לבסוף יחמיר לכאב חזק מאוד, שאינו מאפשר לישון בלילה. כמו כן יכול להיווצר אבסס והפרשת מוגלה בשיניים אלו. רק טיפול שורש איכותי מאוד ומדוייק עד לרמה של עשיריות המילימטר יכול להציל שן כזו, אם בכלל.  בדר"כ לאחר הרס גדול של השן דרוש גם מבנה וכתר כדי לשחזרה.

  • בוגרת בית הספר לרפואת שיניים באוניברסיטת תל אביב

  • מומחית בטיפולי שורש (אנדודונטית), סיימה לימודיה במחלקה לאנדודונטולוגיה בפקולטה לרפואת שיניים באוניברסיטת הדסה

  • חברת ההסתדרות לרפואת שיניים בישראל

  • חברת האיגוד הישראלי לאנדודונטיה- טיפולי שורש

  • חברה בצוות מחקר ופיתוח של (SAF (Self Adjusting File, הדור החדש של פוצרים מתוחכמים לטיפולי שורש מסובכים

* ד"ר יולי כרגע בחופשה לצורך לימודים ומחקר בקנדה

עוד