שתפו

דלקת חניכיים, מחלת חניכיים

  • מהן ומה הסיבות לדלקות חניכיים (ג'ינג'יביטיס), מחלת חניכיים (פריודונטיטיס), נסיגת חניכיים, כאבי חניכיים ורגישות שיניים, דימומים, ניידות שיניים, ריח רע מהפה ועוד
  • למה החניכיים מדממות, רגישות וכואבות?
  • אני מצחצח ממש חזק, איך יכול להיות שנשארו חיידקים על השיניים? אולי אני לא מצחצח נכון?
  • למה יש לי ריח רע מהפה כל הזמן, למרות שאני מצחצח ומשתמש בשטיפות פה?
  • למה יש לי נסיגת חניכיים? למה השיניים מתנדנדות?
  • למה יש לי כאבים בחניכיים כאשר אני לועס?
  • האם דלקות חניכיים קשורות למצב הבריאות הכללי?
  • מהם ניתוחי חניכיים? האם כדאי לטפל בלייזר? האם אמדוגיין יכול לחדש רקמות עצם וחניכיים? האם כדאי לנסות או לעקור ולבצע השתלות?
דלקות חניכיים היגיינה אוראלית וצחצוח שיניים - ד"ר גיא וולפין

גם אם השיניים בריאות וחזקות, הן נמצאות בהתקפה יומיומית 24/7 של חיידקים, חומצות, סוכרים ועוד, ועלולות להיות בסכנה. גם אם מצחצחים ממש חזק  ומספר פעמים ביום (וזו טעות…), כאשר צחצוח השיניים לקוי ואינו בשיטה הנכונה ובמברשת נכונה, נשארים שרידי מזון וחיידקים על השיניים. החיידקים נדבקים לשן בחוזקה ע"י דבק מיוחד שהם מייצרים, וממשיכים להתרבות, במיוחד במפגש בין השיניים והחניכיים ("כיסי חניכיים"). להצטברות זו קוראים "פלאק" או בעברית – "רובד". כאשר סידן (מהמזון ומהרוק) שוקע בפלאק הנ"ל, הוא מתקשה והופך לאבנית, שלמעשה בתוכה ממשיכים החיידקים לחיות ולהתרבות, ולהפריש את הרעלים לתוך החניכיים ולזרם הדם. המאסה של האבנית הולכת וגדלה, גם בגלל שהחיידקים ממשיכים להתרבות (ע"י חלוקה והכפלה) וגם בגלל שחיידקים מגיעים ללא הפסקה מהאוויר שאנו נושמים, ונדבקים יותר בקלות אל החיידקים שכבר נדבקו אל השן והחניכיים. התוצאה הישירה בחניכיים היא דלקת חניכיים, אשר עלולה להחמיר למחלת חניכיים כרונית, וכן לעלייה בשיעור הופעת מחלות סיסטמיות בגוף ו/או החמרתן (מחלות לב, הריון וסוכרת, למשל, הינם מצבים רפואיים שמושפעים לרעה או לטובה בקשר ישיר לדלקות חניכיים ומחלות חניכיים).

הפלאק והאבנית לא רק גורמים לדלקות חניכיים, אלא גם לבעייה אסתטית: פיגמנטים של תה, קפה, סיגריות, ליפסטיק וכולי נדבקים בקלות יותר לפלאק ולאבנית,  וכן חניכיים נופחות ומדממות אינן מראה יפה במיוחד… כמו כן כמובן שריבוי חיידקים גורר לרוב גם ריח רע מהפה, וכאשר יש גם נסיגות חניכיים מתקבל מראה שונה ולא יפה של החיוך, במיוחד אם יש חשיפה של שוליים של כתרים המכילים מתכת. 

הפתרון : איבחון נכון, ניקוי איכותי ע"י השיננית או רופא השיניים, והדרכה יסודית בשיטות צחצוח נכונות, שמירה על התמדה בבית ועל רוטינה קבועה ומתאימה מול המרפאה. די קל, די פשוט, די זול – והעיקר לשמור על הבריאות ולמנוע הזנחה בשל חוסר מודעות ו/או הזנחה.

* הערה – מי מלח, משחות שונות, מכשירים שונים לשטיפת הפה וכו', חוט דנטלי וכו' – כולם אך ורק משלימים את הטיפול, ולא ירפאו דלקת חניכיים אם לא הוסרה האבנית ואם הצחצוח עדיין שגוי ולא מבוצע לפי ההוראות, והמצב אף עלול להחמיר

 

*בין היתר, הייתי הרופא האחראי על הלימודים הקליניים בקורס שינניות 2004-2014 בביה"ס לרפואת שיניים באוניברסיטת תל-אביב, ובתפקיד דומה במכללה ללימודי הבריאות 2002-2004, כולל הכשרת רופאי שיניים שלמדו בחו"ל לקראת מבחני רישוי בארץ. עצות אלו ואחרות הינן אבן היסוד של רפואת שיניים נכונה וטובה, שתועיל לכם למשך שנים רבות

בעיות חניכיים שונות

דלקת חניכיים- ג'ינג'יביטיס - Plaque Induced Gingivitis

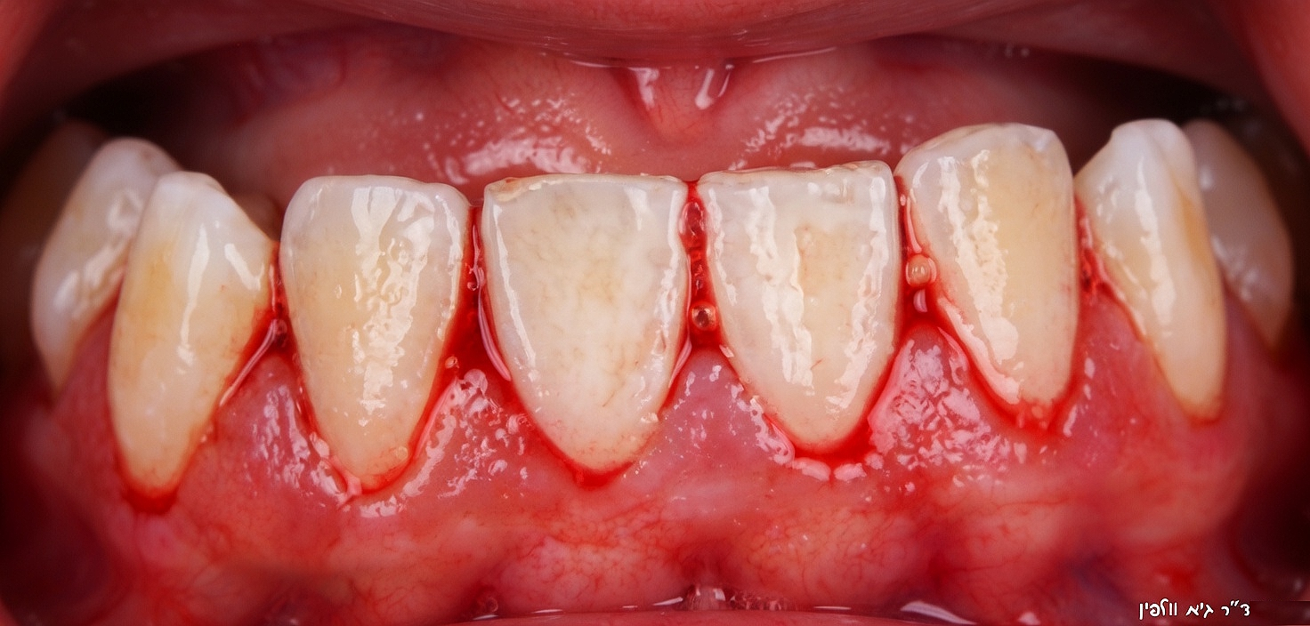
דלקת החניכיים שמופיעה בשלבים הראשונים נקראת ג'ינג'יביטיס, וכאמור הינה בגלל הפלאק החיידקי –  Plaque Induced Gingivitis. החניכיים אדומים, נפוחים ומדממים בקלות. לפעמים יש גם רגישות למגע בחניכיים הדלקתיים. לעיתים יש גם ריח רע מהפה. בשלב זה עדיין אין נזק לעצם הלסת שמסביב לשיניים ולרקמות התומכות בשן, והדלקת בדר"כ תחלוף לאחר הסרת האבנית והפלאק וצחצוח איכותי בבית.

בשעת ההריון (בהשפעת ההורמונים) סימנים אלו לעיתים מחמירים, ובמקרים קשים גם העובר חשוף לסכנת זיהום, בגלל חדירת חיידקים מהפה אל זרם הדם דרך החניכיים הדלקתיים והמדממים. יש לזכור כי אין כל בעיה לבצע טיפולי חניכיים והסרת אבנית בהריון, ומומלץ לבצעם בכל 2-3 חודשים בהריון.

בשעת מחלות כלליות קשות (בגלל ירידה בכושר מערכת החיסון, כמו למשל בסוכרת לא מאוזנתמחלות כליה קשות או לאחר השתלות איברים), אנשים החולים במחלות לב ספציפיות (כמו מומי לב קשים מולדים או לאחר השתלת מסתמי לב תותבים) ומצבים רפואיים נוספים מומלץ להגיע לטיפולי חניכיים אחת ל-3 חודשים, ולדאוג לרמת היגיינה אוראלית מעולה בבית. זאת מכיוון שמצב של דלקת וזיהום ממושך בחניכיים קשור גם לעלייה בלידות מוקדמות, סוכרת, התקפי לב ומחלות לב אחרות, שבץ מוחי ואף סרטן!

בקרב מעשנים כבדים מחלות החניכיים מחמירות יותר מהרגיל. כמו כן קיים קשר גנטי.

מחלת חניכיים דלקתית - פריודונטיטיס - Periodontitis

כאשר המצב הדלקתי בחניכיים נמשך לאורך זמן, והאבנית מצטברת מעל ומתחת לחניכיים, נראה החמרה בסימנים, ותחילת מצב של מחלת חניכיים דלקתית כרונית, המכונה פריודונטיטיס – Periodontitis . הסימנים יחמירו, ולעיתים מופיעים גם כאבים וקשיים באכילה. כיסי החניכיים יגדלו, והמרווח בין החניכיים והשן יגדל. במקביל גם תתחיל תופעה של נסיגת חניכיים ופגיעה בעצם שסביב השיניים, וכן ברקמות המחברות את השן אל העצם (כלל הרקמות הנ"ל מכונה "מנגנון התאחיזה", מהמילה "לאחוז"). השורשים ייחשפו יותר ויותר, השיניים תראינה ארוכות יותר, ויופיעו מרווחים בין השיניים בנקודות שבהן החניכיים נסוגו. זוהי מחלת חניכיים דלקתית עם אובדן עצם ותאחיזה פריודונטלית

מחלת החניכיים מופיעה בשיעורים גבוהים יותר ויותר ככל שאנו מתבגרים, ובמיוחד אצל אלו שלא מבצעים טיפולי חניכיים לפחות פעמיים בשנה במרפאת השיניים. השורשים שנחשפים בדרך כלל רגישים לקור וכן נמצאים בסכנה לעששת הרבה יותר מאשר בכותרת השן, שכן אינם מצופים אמאייל. ככל שהמחלה תמשך ולא תטופל ע"י רופא השיניים או השיננית, הנזק לחניכיים  ולרקמות התאחיזה יחמיר: נסיגת החניכיים תמשך, הדלקת סביב שורש השן תחמיר, והעצם שסביב השן תדלדל ותיספג.

במשך הזמן השן תהיה פחות יציבה, ותחל להתנדנד. כאשר המצב יימשך ויחמיר, השן תתנדנד בצורה כזו שאי אפשר יהיה לאכול עליה מרוב ניידות ומרוב כאבים, ולבסוף תנשור או שיהיה צורך בעקירתה.

ישנם סוגים שונים של פריודונטיטיס, והאבחנה המדוייקת של סוג המחלה ושל חומרתה תעשה ע"י רופא השיניים. במקרים מסויימים מומלץ להתייעץ עם פריודונט (מומחה למחלות חניכיים). כדי להשלים את האבחנה עוברים בדיקה של עומק הכיסים הדלקתיים סביב השן, וכן צילומי רנטגן מתאימים.

יש לזכור כי אם מאבדים שיניים בגלל מחלת חניכיים ממושכת, הרי שעצמות הלסת נפגעו מאוד, ולכן לרוב אי אפשר לבצע שתלים וכתרים בקלות, אלא יש צורך בפעולות כירורגיות לעיבוי עצמות הלסת בחזרה עוד לפני השתלים

רפואת השיניים המודרנית מבוססת בעיקר על חניכיים בריאות ועצמות לסת חזקות, ואי אפשר לבצע שיקום טוב לטווח ארוך ללא חניכיים בריאות

סוגים שונים של פריודונטיטיס - מחלת חניכיים

Chronic: הצורה הנפוצה של המחלה. אופיינית למבוגרים (בגילאים 45-40 = 35%, בגילאים 75-80 = 90%). נגרמת עקב דלקת חניכיים שמתפשטת גם לרקמות התומכות בשיניים (PDL + צמנטום + עצם). מאופיינת בכיסי חניכיים, נסיגת חניכיים ועצם, חשיפת שורשים, ניידות שיניים, ריח רע (האליטוזיס), קשיים בלעיסה, פגיעה אסתטית, זיהומים ואבצסים. בסופו של דבר אובדן התאחיזה יהיה כה גדול, שיסתיים בנשירת שיניים. 

  • Localized Chronic         : פחות מ- 30% מהשיניים עם אובדן עצם ותאחיזת חניכיים

  • Generalized Chronic     : יותר מ- 30% מהלסתות עם אובדן עצם ותאחיזת חניכיים

Aggressive: מחלת חניכיים באנשים צעירים המתאפיינת באובדן והרס מהיר של העצם התומכת בשיניים, כאשר תחילת הפגיעה תהיה בחותכות ובטוחנות. למחלה קשר גנטי. הגורמים הנוספים עלולים לגרום להחמרת המחלה. 

  • Aggressive Localized    : חותכות וטוחנות קבועות נפגעות (באופן כללי)

  • Generalized Aggressive: שיניים נוספות נפגעות בנוסף לחותכות ולטוחנות הקבועות (באופן כללי)

אחר: ע"ר מחלה סיסטמית, אבצסים, נגע אנדו'-פריו' משולב, מצב נקרוטי (NUP, NUG), דפקטים אנטומיים וכו'.

דרגות חומרה של פריודונטיטיס

  • קל – Slight          : אובדן עצם ורקמות תאחיזה של החניכיים = 1-2 מ"מ

  • בינוני – Moderate  : אובדן עצם ורקמות תאחיזה של החניכיים = 3-4 מ"מ

  • חמור – Severe      : אובדן עצם ורקמות תאחיזה של החניכיים ≥ 5 מ"מ

גב' מאיה דורון - שיננית מוסמכת - RDH

מאיה היא השיננית שלנו, אחת התלמידות הכי טובות שהיו לי כשהייתי אחראי על לימודי השינניות בביה"ס לרפואת שיניים באוניברסיטת ת"א… 

היא שיננית מעולה, שתדאג שכל גורמי הדלקות בחניכיים יוסרו, ולא תוותר עד שתלמד לצחצח שיניים בצורה הנכונה, ולשמור על התוצאות לאורך זמן. 

השיננית אחראית על ביצוע טיפולי החניכיים השוטפים. הדרכה בהיגיינה אוראלית עם שיטות צחצוח נכונות, שימוש בחוט דנטלי בצורה הנכונה, התאמת משחת שיניים ומברשת מתאימה ועוד. שיננית הינה יסוד חשוב בכל מרפאה מודרנית וטובה כמו כן תדאג לקשר רצוף איתך, ותזכורות לטיפול הבא לפי קצב ההחלמה של החניכיים מהדלקת. חשוב לזכור, גם אם אין כאבים, בהחלט ייתכן שיש דלקת חניכיים והדרדרות כרונית במצב. מומלץ להגיע לשיננית כל 6 חודשים לפחות, ולעיתים גם כל 3-4 חודשים.

*והמלצה חמה שלי וגם של מאיה – לא לוותר על גז צחוק כאשר מבצעים טיפול חניכיים במרפאה – הופך את החוויה לקלה ורגועה 🙂

עזרה ראשונה לחניכיים

  • אם יש לך דלקת חניכיים או מחלת חניכיים, כדאי לטפל בה בהקדם, לפני החמרת המצב. מומלץ להגיע בהקדם אל מרפאת השיניים, ולקבל טיפול לחניכיים ע"י רופא השיניים או ע"י השיננית.
  • את האבנית רק רופא שיניים או שיננית יכולים להסיר עם מיכשור מיוחד. המיכשור אינו פוגע בשיניים עצמן ואין חשש לבצע את הטיפול הנ"ל שוב ושוב. הקפידו שהרופא או השיננית לא יסתפקו רק בשימוש במכשיר החשמלי, אלא יבצעו גם הסרת אבנית ורובד במיכשור ידני, שכן ברוב המקרים המכשיר החשמלי אינו מנקה בדייקנות מתחת לקו החניכיים (והוא גם מכאיב, בדר"כ).

  • באותה הזדמנות גם צריך לבקש ולקבל הדרכה בשיטות צחצוח, בשימוש בחוט דנטלי ושטיפות פה, ייעוץ תזונתי ועוד.

  • את הפלאק (רובד החיידקים) הנכם יכולים להסיר ע"י צחצוח נכון במברשת מתאימה. ההמלצה שלי : מברשת עדינה ולא גדולה מדי, כדי שתגיע לכל פינות הפה.

  • במקרה שקיימים רווחים בין החניכיים והשיניים מומלץ להיעזר במברשת בין-שינית (אינטר-פרוקסימלית), שנראית  כמו סליל דק ואפשר להעבירה במרווחים אלו.

  • כמו כן מומלץ להשתמש בשטיפות פה נגד חיידקים ובחוט דנטלי.

  • שטיפות עם מי פה מסוג קורסודיל, תארודנט ומרידול עשויות לעזור, אך לא לפתור את הדלקת ולא להסיר את האבנית שגרמה לדלקת. לא מומלץ להשתמש בהן יותר משבועיים, שכן הן ידועות כמכתימות שיניים.

  • לעזרה ראשונה לחניכיים מדממים אפשר לגרגר מי מלח מספר פעמים ביום. אפשר גם לעסות את החניכיים עם שמן זית. אפשר גם לגרגר תה בבונג או תה קמומיל.

אין אף בן אדם שמצליח לצחצח מושלם ובכל פינה את כל זוויות השיניים והחניכיים. ברגע שהחיידקים יצליחו להידבק לאיזור מסויים – ולא יסולקו – תיווצר אבנית שתגדל יותר ויותר. זו לא אותה האבנית כמו באמבטיה ובכיור… אלא מאסה גדולה של חיידקים שהולכת וגדלה ללא הפסקה, מתקדה ונדבקת לשיניים ולחניכיים, וגורמת זיהום מקומי שעלול גם להגיע אל זרם הדם הכללי…

לדלקת חניכיים בהחלט יש השפעה מגורמים נוספים:

  • נשימה בפה פתוח / שינה בפה פתוח – תגרום ליובש פה ויותר חיידקים
  • גנטיקה – יש משפחות בהן יש חניכיים חלשות יותר וחשופות יותר לזיהומים
  • הרכב הרוק – לאנשים שיש יותר סידן ברוק + הרגלי צחצוח גרועים – תהיה יותר אבנית
  • מצב כללי של הגוף – אנשים שחולים במחלות כלליות כרוניות (למשל בעייה במערכת החיסון, למשל סוכרת לא מאוזנת וכולי) – יהיו יותר זיהומים וביניהם גם נטייה לדלקות חניכיים. כמו כן כאמור בעת ההריון בהשפעת ההורמונים פרוגסטרון ואסטרוגן יש לעיתים רבות החמרה של בעיות החניכיים
  • חריקות שיניים (ברוקסיזם) – לא גורמות לדלקת חניכיים, אבל בהחלט יכולות להחמיר אותה
  • בזמן יישור שיניים, הקושי לצחצח נכון ולשמור על היגיינה אוראלית טובה גדול עוד יותר מהרגיל, ושרידי מזון וחיידקים נתקעים בקלות בחניכיים ובשיניים, ולעיתים אנו רואים התפרצות של מוקדי עששת (ריקבון בשיניים) ו/או דלקות חניכיים.
 

עצתי – טיפולים סדירים במרפאת השיניים על ידי הרופא האישי והשיננית ולקבוע את הקצב בהתאם למצב. בכל מפגש לעשות חזרה וריענון על טיפולים שכדאי לעשות בבית, כמו חוט דנטלי, צחצוח נכון, שטיפת פה ועוד.

צחצוח אגרסיבי- אברזיה, abrasion

פגיעה בחניכיים ונסיגת חניכיים עלולה להיגרם גם בגלל צחצוח שיניים אגרסיבי, כאשר המצחצח בטעות חושב שצחצוח חזק הוא צחצוח טוב יותר. גם השימוש במברשת גדולה מדי או מברשת נוקשה עלול לגרום נזק. כאשר החניכיים נסוגות, עלולה להיות רגישות לחום/קור/מתוק וכו', בגלל שצוואר השן נחשף, ולכן התופעה מכונה "רגישות צווארית". כמו כן השורש חשוף לפגיעת חיידקים והופעת עששת שורשים. יש לזכור שכל נסיגה בחניכיים, גם אם אינה דלקתית, גוררת גם נסיגה של העצם סביב השן ושל הסיבים והרצועות שתומכים בשן.

צחצוח אגרסיבי יכול גם לגרום לשחיקה בלתי הפיכה של כותרת השן, בעיקר באיזור הצווארי, שם האמאייל דק יותר. גם שחיקה זו עלולה להוביל לרגישות ולעששת.

ניתוחי חניכיים

לעיתים אין די בפעולות הסרת האבנית והחיידקים, והנזק שנוצר עד כה בעקבות מחלת החניכיים אינו מאפשר שליטה בזיהום והיגיינה אוראלית נאותה, שתאפשר המשך הריפוי.

במקרים אלו יש לשקול ניתוחי חניכיים ופעולות מתקדמות אחרות להצלת המשנן:

  •  ניתוח לצמצום כיסים

  •  טיפול כירורגי באמצעות אמדוגיין, חומר מהפכני שנוצר מחלבוני אמאייל, שמהווים קרקע להתחדשות (רגנרציה) של עצם הלסת ורקמות החניכיים.

  •  החדרת חומר חיטוי מסוג פריוצ'יפ (כלורהקסידין) או ג'ל ארסטין (חומר אנטיביוטי) לכיסי החניכיים הדלקתיים לאחר ניקוי עמוק של אתר המזוהם

  • במרפאה שלנו מבצעים בעזרת מכשיר לייזר חלק מניתוחי החניכיים וטיפולי החניכיים.

אמדוגיין, טיפול חניכיים כירורגי בעזרת חלבוני אמאייל

ג'ל על בסיס חלבון (פרוטאין) ייחודי המסייע בשימור השן על ידי קידום התחדשות הרקמה קשה והרכה. 
בהשמת Emdogain FL על שורש שן נקי קיים פוטנציאל לשחזור של ארבע הרקמות של הפריודנטיום: ג'ינגיבה, צמנטום, PDL ועצם אלוואולרית.
טכניקת השימוש ב  Emdogain FL, היא זעיר פולשנית קלה ליישום ומתאימה לטיפול בכיסים פריודונטליים בעומק של 5-8 ס"מ.

המלצות נוספות לבעיות חניכיים

  • כדאי לעבור למברשת רכה ועדינה, צחצוח נכון, משחות המיועדות לשיניים רגישות ושטיפות פלואוריד. 

  • במרפאה אפשר לקבל טיפול כנגד רגישות צווארית, בדר"כ תכשירים שונים שהשיננית או רופא השיניים יכולים למרוח באיזור שנפגע.

  • במקרים קיצוניים יותר יש צורך בשיחזורים שיכסו וישחזרו את האיזורים הרגישים. אפשר ע"י השתלת חניכיים לשחזר את החניכיים שנסוגו, אך רק לאחר שינוי ההרגל המזיק ובתנאי שהחניכיים ללא דלקת.

  • במקרים הקיצוניים ביותר, עלל להיות צורך בטיפולי שורש וכתרים בכדי לתקן את הנזק לשיניים ולחניכיים.

עזרה ראשונה לחניכיים כואבות, מדממות ונפוחות

  •  את הפלאק (רובד החיידקים) הנכם יכולים להסיר ע"י צחצוח נכון במברשת מתאימה. ההמלצה שלי : מברשת עדינה ולא גדולה מדי, כדי שתגיע לכל פינות הפה.  הסברים ואיורים לצחצוח תמצאו בלחיצה על הציור משמאל.

  •  במקרה שקיימים רווחים בין החניכיים והשיניים מומלץ להיעזר במברשת בין-שינית (אינטר-פרוקסימלית), שנראית  כמו סליל דק ואפשר להעבירה במרווחים אלו.

  •  כמו כן מומלץ להשתמש בשטיפות פה נגד חיידקים ובחוט דנטלי.

  •  שטיפות עם מי פה מסוג קורסודיל ותארודנט עשויות לעזור, אך לא לפתור את הדלקת ולא להסיר את האבנית שגרמה לדלקת. לא מומלץ להשתמש בהן יותר משבועיים, שכן הן עלולות לגרום להכתמת השיניים והלשון כמכתימות שיניים.

  •  לעזרה ראשונה לחניכיים מדממים אפשר לגרגר מי מלח מספר פעמים ביום. אפשר גם לעסות את החניכיים עם שמן זית. אפשר גם לגרגר תה בבונג או תה קמומיל. אלו תרופות סבתא טובות, אך רק להקלת הסימפטומים, ואינן מסירות את החיידקים והאבנית שגרמה לדלקת החניכיים

  •  את האבנית רק רופא שיניים או שיננית יכולים להסיר עם מיכשור מיוחד. המיכשור אינו פוגע בשיניים עצמן ואין חשש לבצע את הטיפול הנ"ל שוב ושוב. הקפידו שהרופא או השיננית לא יסתפקו רק בשימוש במכשיר החשמלי, אלא יבצעו גם הסרת אבנית ורובד במיכשור ידני, שכן ברוב המקרים המכשיר החשמלי אינו מנקה בדייקנות מתחת לקו החניכיים (והוא גם מכאיב, בדר"כ).

  • באותה ההזדמנות גם צריך לבקש ולקבל הדרכה בשיטות צחצוח, בשימוש בחוט דנטלי ושטיפות פה, ייעוץ תזונתי ועוד.

 

עוד