שתפו

  • למה השיניים שלי צהובות? איך אפשר ליצור חיוך לבן יותר ויפה יותר?
  • למה אם אני מצחצח/ת חזק, השיניים לא לבנות? ולמה משחות להלבנה לא עוזרות?
  • השיניים צהובות ולא יפות, אפילו שאיני מעשן/ת ואיני שותה קפה/תה – מדוע?
  • האם הלבנת שיניים גורמת לנזק לשיניים? האם כדאי לנסות להלבין שיניים לפי עצות מהפייסבוק/יו-טיוב?
  • מה אפשר לעשות כדי שהשיניים תהיינה יותר לבנות ויפות?
  • האם אפשר להלבין שיניים בבת אחת או שזהו תהליך מאוד איטי? מה כדאי לי לבצע?
  • מי מוסמך לבצע הלבנת שיניים?
  • האם אפשר או משתלם להלבין שיניים עם מוצרים זולים ברשת הפארם או באינטרנט? האם זה בטוח לשיניים?
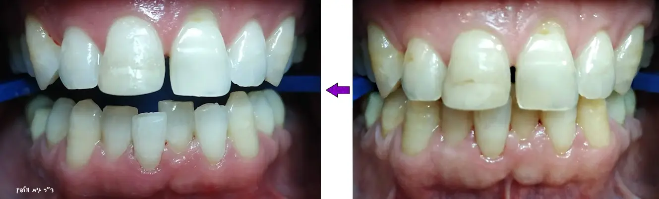
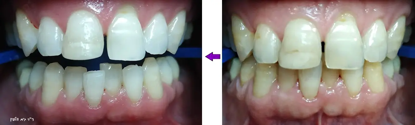
  • אם יש לי כתרים לא אסתטיים / ישנים או סתימות ישנות  – האם ההלבנה תשפיע עליהם?

האם אפשר לבצע הלבנת שיניים בבית עם תכשירים מהפארם או עצות ותרופות סבתא שמוצאים ברשת? האם כדאי? משתלם? ד"ר גיא וולפין מההסתדרות לרפואת שיניים והילה אלרואי, כתבת הבריאות מערוץ 13 יצאו לבדוק. המסקנה: לא ממש יעיל או משתלם… ואתם אף עלולים לגרום לנזק לשיניים

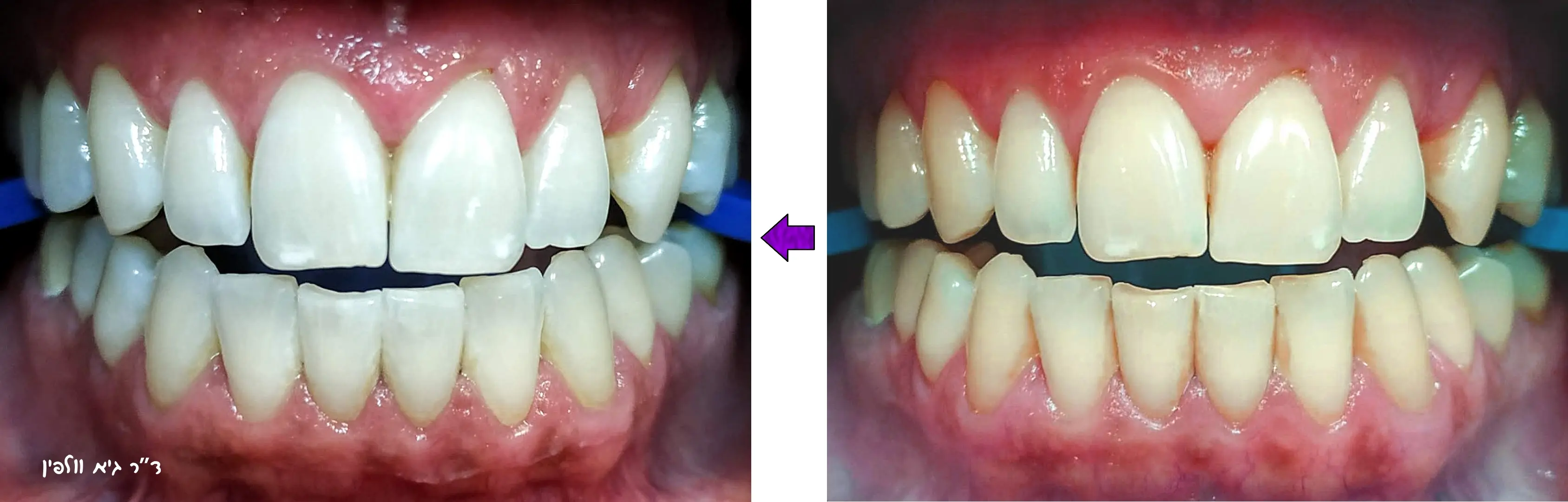
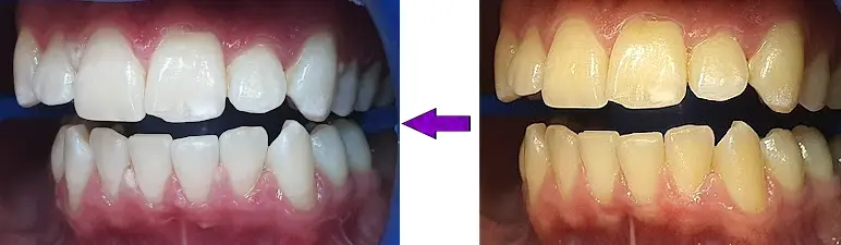
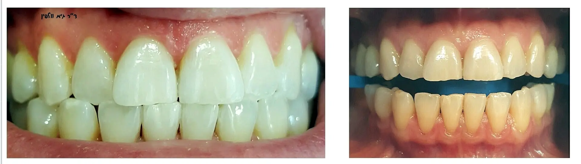
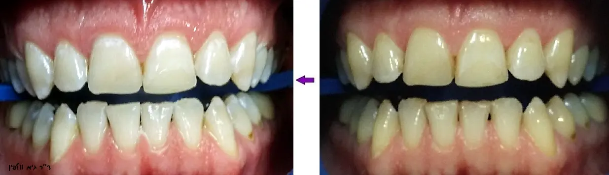
עם התקדמות הטכנולוגיה והוזלת עלויות יצור, הפכה הלבנת שיניים לתהליך פשוט, בטוח, מהיר, ולא פחות חשוב – זול. חיוך יפה וצחור הוא אחד הדברים הכי יפים שיש בגופנו, והוא משדר הצלחה, בריאות, אסתטיקה, כריזמה ועוד.

עצה קטנה -ברוב המקרים –  אם החיוך מאוד צהוב ולא אסתטי – יש כתרים או סתימות – הם לא יולבנו. אבל כדאי לבצע הלבנה והחלפת של הכתרים שמן הסתם גם הם יהיו צהובים. מה גם שייתכן והכתרים הישנים עצמם ממילא לא אסתטיים / איכותיים. אבל כמובן שלאחר ההלבנה נחליף את הכתרים לחדשים ובריאים יותר, בגוון החדש, וניצור חיוך הרמוני, בריא ויפה.

חשוב לדעת: החלק החיצוני של כותרת השן, שנקרא אמאייל, הינו שקוף לחלוטין, ומכאן שמו בעברית – זגוגית השן. יש להבדיל בין צבע שנובע מהכתמה חיצונית ע"ג אמאייל השיניים (למשל בגלל ניקוטין, קפאין, גנטיקה, גיל, חבלות, טיפולי שורש, סתימות לקויות, תרופות ועוד), לבין הצבע הטבעי הצהבהב שיש לשן טבעית, שנובע מכך שצבעו של החלק הפנימי של השן, הדנטין, הינו צהבהב-חום, וימשיך להצהיב לאורך כל חיינו יותר ויותר, מסיבות שונות (עששת, סדקים באמאייל, עיבוי דנטין ועוד). לפני שמבצעים הלבנת שיניים, יש לוודא שהשן עצמה נקייה מכתמים חיצוניים, וכן שהצבע אינו נובע מריקבון, סתימות ישנות וכו'.

עיקר הבעייה היא כאשר השינים לא מקבלות צחצוח בשיטה הנכונה, ונדבקת אליהם שכבה דקה של חיידקים (=פלאק, או רובד בעברית). הפלאק הנ"ל נדבק לשיניים, ובמקביל פיגמנטים ממוצרים שונים יכולים להידבק אליו. 

התייעצו עם רופא השיניים! חשוב לדעת שרק הרופא יכול לבצע איבחון והלבנה של השיניים עפ"י חוק! 

שיננית, קוסמטיקאית, אחות וכולי – אסור להן לבצע הלבנת שיניים, ואיבחון שגוי כמובן גם עלול לגרום לנזק בריאותי!

  • אל תתפתו ל"שיטות סבתא" כגון שפשוף במלח גס / סודה לשתייה / חומצת לימון / משחה מעשבים שונים וכו' – אתם עלולים לפגוע בציפוי השן ולגרום לנזק בלתי הפיך !
  • כל שיטות ההלבנה המקצועית מבוססות על אותו חומר כימי – קרבמיד פראוקסיד / הידרוגן פראוקסיד. חומר זה בטוח לחלוטין לשיניים, ואינו פוגע בהן או ממיס אותן. 
  • חומר ההלבנה חודר אל תוך השן דרך רווחים מיקרוסקופיים באמאייל השקוף ומגיע אל הדנטין הצהבהב. בתוך הדנטין חומר ההלבנה גורם לפירוק מולקולות צבע, וכך הדנטין מובהר.
  • בכל מקרה, הצבע הצהבהב יחזור במשך הזמן, כיוון שהגוף מייצר עוד ועוד דנטין במשך כל חיינו, אך קל להלבין שוב ושוב. 
  • כתרים, גשרים, ציפויי חרסינה וסתימות לבנות – לא יולבנו באף אחת מהשיטות !!! ולכן יש להתייעץ עם הרופא לגבי התוצאה הסופית, ולקחת בחשבון אפשרות של החלפת כתרים/סתימות לבנות שאינם זהים בצבע לתוצאה המולבנת
  • בקרב מעשנים ואנשים ששותים הרבה תה וקפה – התוצאות פחות מוצלחות.
  • חובה לבצע ניקוי אבנית והברקה (פוליש) לפני כל תהליך הלבנה – וכמובן בדיקה שאין עששת (חורים) או מחלות חניכיים וכו' .
  • לדעת רוב הרופאים, התהליך הבטוח ביותר הינו על-ידי סד (תבנית), ואין כל חשש לפגיעה בשן.
  • לבן מוחלט – צבע לא טבעי, שאפשר להשיג רק ע"י ציפויי חרסינה או כתרים 
  • בבתי המרקחת קיימות ערכות שונות להלבנה, למשל ע"י פסי הדבקה ולמשל ע"י "לק" שמורחים על השיניים. חומרים אלו יעילים הרבה פחות מהלבנה מקצועית, ולהם חסרונות רבים נוספים. העלות הכוללת לבסוף גבוהה בהרבה מהלבנה מקצועית.

 

השיטות המקצועיות המומלצות בעיני להלבנת שיניים הן

  • טיפול ביתי: בעזרת סד (תבנית אישית מסיליקון) בבוקר ו/או בערב, שבו מורחים את חומר ההלבנה
  • טיפול במרפאה: בעזרת מנורת !ZOOM, שמפיקה אור LED כחול, המפעיל חומר הלבנה שנמרח על השיניים

!ZOOM או obio white - הלבנה "מיידית" במרפאה

  • למי שלחוץ בזמן ורוצה תוצאות מיידיות, ולמי שחסר סבלנות לטיפול ביתי במשך 14-21 ימים.
    על-גבי השיניים נמרח ג'ל המכיל חומר הלבנה, והן מוארות ע"י אור כחול מיוחד (לא לייזר)

  • יתרונות: מהיר (1-2 טיפולים בדר"כ), מבוצע במרפאה ע"י הרופא, זול יותר מלייזר, פחות אגרסיבי מלייזר ולכן בטוח יותר

  • חסרונות:  תתכן רגישות לאחר הטיפול, דורש מיומנות של הרופא

    כדאי לדעת:
    * התהליך בטוח לחלוטין ואינו פוגע בשכבת האמאייל או בשכבת הדנטין, אינו מסכן את השיניים בחשש לטיפולי שורש 
    *החומר הכימי בתהליך זהה לזה של הסד – יש ג'ל שמלבין, המהירות נובעת מאקטיבציה של הג'ל בעזרת האור הכחול,
     ומכך שהוא בריכוז גבוה יותר ולכן הטיפול מהיר ביותר 
    * מומלץ להמשיך מספר ימים את ההלבנה בבית, ע"י סד אישי ביתי דקיק, העשוי מסיליקון
    * בעזרת אותו סד אישי אפשר מדי כמה חודשים לתחזק בקלות את ההלבנה בבית
    * אפשר גם להשתמש בסד האישי לטיפול ביתי בפלואוריד, להפחתת העששת וחיזוק השיניים
    *  הלבנה ע"י !ZOOM או obio white הינה בטוחה לחלוטין. תתכן רגישות קלה בשיניים, שחולפת מעצמה. אין כל פגיעה בחומר השן. מומלץ שבועיים לפני ההלבנה לבצע טיפול הסרת אבנית וניקוי, ולהתחיל לצחצח בבית 2-3 פעמים ביום עם משחה לשיניים רגישות, לפי הוראות רופא השיניים או השיננית

הלבנת שיניים במכשיר ZOOM

הלבנה ע"י סד (תבנית אישית):

הסד הינו מעין " כפפה" לשיניים, שעשויה סיליקון רך ועדין, ומותאם אישית לכל מתרפא.

  • יתרונות: מלווה בפיקוח רפואי, לשימוש ארוך שנים – כשהשיניים שוב מצהיבות, מוציאים מהארון ומשתמשים שוב!!! כמו כן זול, בטוח מאוד, קל לשימוש ביתי, ניתן להשתמש שוב ושוב (בהשקעה קטנה של קניית הג'ל מחדש).
  • חסרונות: איטי יחסית – בדרך-כלל צריך טיפול של שבוע עד 10 ימים, אם כי כבר לאחר מס' ימים רואים הבדל
  • עם אותו הסד אפשר לבצע הלבנה בשעות היום (חצי שעה עד שעה) או בשעות הלילה, תוך כדי שינה – לפי העדפת המתרפא. ניתן גם לגוון בין השיטות.
  • אין כל חשש לפגיעה בשן. הטיפול ע"י סד (תבנית) נועד להבהרת הצבע הבסיסי של חומר-השן (הדנטין). תהליך ההלבנה פשוט וקל. כבר לאחר מספר ימים רואים שינוי, כשבממוצע התהליך אורך בין 10 ל- 14 ימים. במקרים "קשים" ניתן להאריך את זמן התהליך.
  • החומר הוא אותו חומר שמשמש להלבנת שיניים על-ידי לייזר. הלייזר רק מחמם את החומר שעל השן, ולכן התגובה מהירה יותר – אך אגרסיבית יותר ובלתי-צפויה יותר.
  • הסד מותאם למטופל באופן אישי, בעבודת מעבדה מדוייקת וקפדנית, ולכן השימוש בו נוח וקל מאוד, ללא גירוי, פציעה או רפלקס הקאה. הסד עשוי מסיליקון שקוף, רך ודק – ולכן נשיאתו בפה הינה בנוחות מקסימלית, כאילו לא היה קיים !
  • התהליך המיוחד שבו מוכן הסד הופך אותו למדוייק והרמטי. כך מתאפשרת שליטה באיזורים אשר ברצונך להלבין, ואין כל חשש מדליפת החומר ובליעתו (למרות שאינו רעיל – אינו טעים…).
  • הסד נשמר למשך שנים רבות! כשיתעורר צורך בהלבנה נוספת, כל שעל המטופל לעשות הוא לנקותו, למרוח את חומר ההלבנה– וקדימה, לפה !
  • חומר ההלבנה בטוח לחלוטין לשימוש, ואין כל סכנה – גם אם בולעים מעט בטעות. החומר אינו פוגע בשכבות השונות של השן, ואינו מקלף את הציפוי שלה. כמו כן הינו בטוח לחלוטין לחניכיים.
  • לאחר שימוש ממושך או אינטנסיבי בחומר תתכן רגישות קלה בשיניים, שחולפת מעצמה. כל שעל המטופל לעשות הוא להפסיק ליום-יומיים את ההלבנה, ולהתחיל שוב לאחר שחלפה הרגישות. כאמור, אין כל חשש לפגיעה בשן
  • היתרון של סד הלבנה בבית הוא שאפשר לעשות שוב ושוב הלבנות, ולא צריך ליצור את הסד מחדש. אגב, יש לקחת בחשבון שאולי אחרי הכנת כתר חדש יהיה צורך בהכנת סד חדש. 
  • הלבנות חוזרות אינן גורמות נזק לשיניים. אפשר לעשות לפי הצורך, אך חבל לתת לשיניים להצהיב בחזרה. אני ממליץ לעשות כל 3 חודשים 3 ימים, וכך קל לזכור וגם שומרים על לובן אחיד. 
  • מומלץ לפחות פעמיים בשנה לבצע בדיקה וניקוי מקצועיים ע"י השיננית ו/או רופא השיניים. מומלץ לא לנסות ולהלבין שיניים ע"י משחות שיניים "מלבינות" או ע"י תערובות שמכינים בבית, כיוון שעלול להיווצר נזק בלתי הפיך לאמאייל.
  • אפשר להשתמש בסד ההלבנה לטיפול ביתי בפלואוריד נגד עששת. כדאי לבקש מידע ומרשם מרופא השיניים

יש מספר יתרונות להלבנה ע"י סד:

  • הסד מוכן במרפאה ובמעבדה ומותאם כמעט הרמטית למבנה השיניים והחניכיים שלך, ולכן הינו נוח מאוד ויעיל מאוד
  • יעילות השיטה גבוהה בהרבה מאשר שיטות ביתיות אחרות, בגלל הסד ובגלל ריכוז החומר המלבין (בדומה להבדל בין העוצמה של תרופה בלי מרשם רופא לעומת תרופה במרשם).
  • כשמשתמשים בסד אפשר להפסיק ליום-יומיים את ההלבנה אם מתעוררת רגישות בשיניים עד שתחלוף. זאת לעומת הלבנה במרפאה- כל אפקט ההלבנה נדחס ל 30-60 דקות, ולכן ההלבנה אגרסיבית יותר ולעיתים מתעוררת רגישות 
  • בשימוש נכון אפשר אפשר להשתמש שוב ושוב בסדים להלבנה. ההלבנה ע"י אור הינה בכל פעם מחדש, ולכן העלויות לאורך זמן יקרות הרבה יותר.
  • אפשר להשתמש בסדים לביצוע טיפול ביתי בפלואוריד נגד עששת, עם משחת אלמקס ג'ל (במרשם רופא בלבד)

טיפולים שאינם מומלצים, בעיני:

1. מכחול ("לק")
בקבוק קטנטן שדומה לבקבוק לק – נוזל + מכחול. 

  • יתרונות: יחסית זול, זמין בבתי המרקחת.
  • חסרונות: אינו מלווה בפיקוח רפואי, מתאים רק לטיפול חד פעמי, לא נוח לשימוש, לא מדוייק – עלולים למרוח גם את החניכיים ואת השפתיים, נגמר מהר, חומר חלש יחסית, איטי יחסית, בחישוב לטווח ארוך – יקר.


2. הלבנה ע"י פסי הדבקה

  • פסי הדבקה (בדומה ל-"סלוטייפ"), שבצידם הפנימי נמצא חומר ההלבנה.
  • יתרונות: יחסית זול – אם כי מתאים רק לטיפול חד פעמי.
  • חסרונות: אינו מלווה בפיקוח רפואי, איטי יחסית, מתאים רק לטיפול חד פעמי, לא נוח לשימוש, לא מדוייק , נגמר מהר, חומר חלש יחסית,  בחישוב לטווח ארוך – יקר.


3. הלבנה בעזרת לייזר

  • על-גבי השיניים נמרח ג'ל, והן מחוממות ע"י מכשיר לייזר.
  • יתרונות: פיקוח רפואי צמוד, מהיר (1-2 טיפולים בדר"כ)
  • חסרונות: יקר מאוד, טיפול חוזר מחייב מחיר מלא מחדש, ישנם מקרים רבים של רגישות לאחר הטיפול, יש ויכוח האם עלול לפגוע במוך השן (עצב + כלי דם פנימיים)


כדאי לדעת
: התהליך זהה לזה של הסד – יש ג'ל שמלבין, הלייזר רק גורם לחימומו ולכן לטיפול מהיר יותר (ואגרסיבי יותר)

זהירות !
מטיפול להלבנת שיניים בעזרת הלייזר אני ממש מזהיר: 
לייזר אינו מלבין שיניים: הלייזר מחמם שיניים שבהן יש עצב חי דבר שעלול לגרום לרגישות ואף לפגיעה בעצב.לטעון שלייזר מלבין שיניים זו הטעייה בפירסום שמשרד הבריאות כבר התריע עליה, וכך גם המועצה המדעית של ההסתדרות לרפואת שיניים בישראל.

זהירות !

אין תואר רשמי של "מומחה" ברפואת שיניים אסתטית, וזו עבירה על החוק להתחזות למומחה בנושא.  היזהרו ממי שמציג עצמו כ"מומחה לאסתטיקה דנטלית", "מומחה לציפויי חרסינה", "מומחה לקוסמטיקה דנטלית" ועוד המצאות… מרמים אתכם.

בהקשר זה אני מזהיר גם מ"מומחים לשתלים" או "מומחים להשתלות", ומהתואר הפיקטיבי "מורשה" שבחלק מקופות החולים משתמשים כדי לדרוש סכומים גבוהים יותר. כך גם לגבי ענפים ברפואה כללית: אין תואר "מומחה להרזייה", "מומחה להצערת עור  הפנים", "מומחה לרפואה אסתטית" וכולי.

אני ממליץ לפני כל טיפול לבדוק אם הרופא אכן מומחה, ולבקש מספר רישיון מומחה – ובמידת הצורך לוודא מול משרד הבריאות.

עוד