שתפו

רפואת שיניים דיגיטלית - והכתרים המושלמים של זירקוניה / EMAX

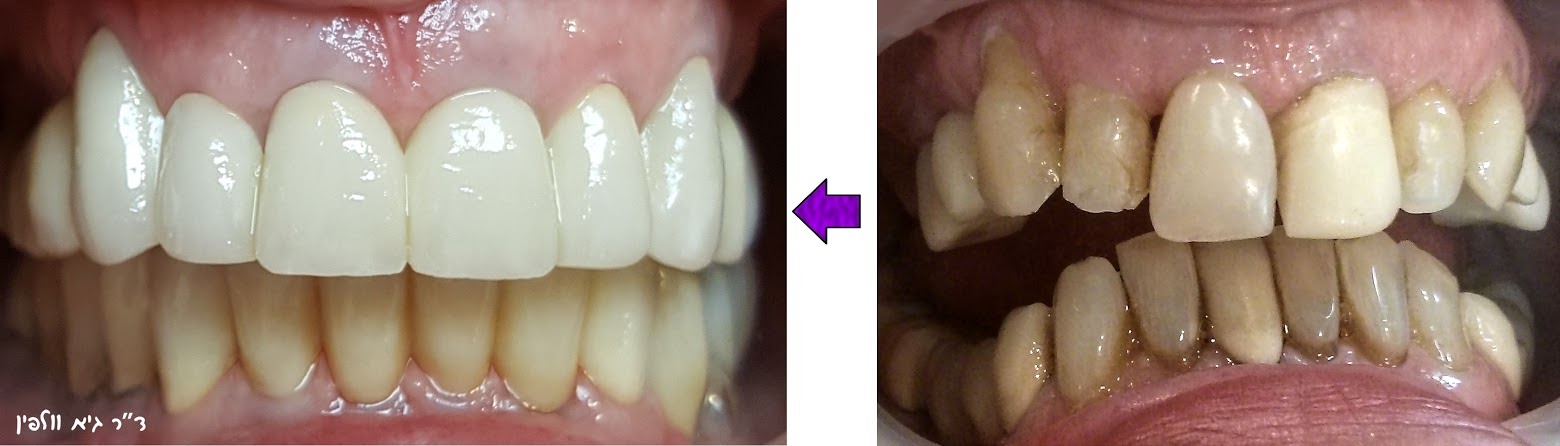
המשותף לרוב הכתרים הוא שחלקם החיצוני הנראה לעין עשוי מחרסינה, ומתחת לחרסינה ועל-גבי השן יש בסיס לכתר. בדרך כלל הבסיס הינו ממתכת. פס כחול/שחור בחניכיים סביב כתר הינה תופעה ידועה המאפיינת כתרים זולים מאוד, שנבנו ע"ג מתכת "לא אצילה", דהיינו ללא מתכות אצילות כמו זהב, פלטינה ופלדיום, או מעט מאוד מתכות אצילות בסגסוגת. המתכת הפשוטה הזו לעיתים מחלידה, ותוצרי ההחלדה נצברים בבשר החניכיים. כמו כן סביב כתרים נחותים כאלו יש בדר"כ דלקת בחניכיים בגלל החלדת המתכת, ואז נסיגת חניכיים שחושפת את השוליים המתכתיים של הכתר. המצב יחמיר עוד יותר כאשר שורשי השיניים יהיו חשופים, אם יתחילו מוקדי ריקבון בשורשים ו/או מתחת לכתרים.

 אנו מקפידים לעבוד עם מיטב המעבדות והטכנולוגיות בישראל, ולא שולחים עבודות לסין ולמזרח הרחוק !

בשנים האחרונות יש שינוי (במיוחד לגבי שיניים קדמיות) ומבצעים יותר ויותר כתרים שהבסיס הינו זירקוניה – חומר דמוי יהלום מלאכותי, שנחרט במעבדה מיוחדת עם ציוד מיוחד. מכיוון שהזירקוניה אינה מתכת, מעבר קרני האור דרך החרסינה ודרך הזירקוניה נראה מאוד טבעי, מה שבדרך כלל אין עם כתרים כשהבסיס הוא ממתכת. לצורך ביצועם בצורה אסתטית מושלמת יש לוודא גם שהמבנה שבוצע לאחר טיפול השורש אינו ממתכת (דהיינו צריך שהמבנה יהיה מזירקוניה או מקומפוזיט), ושהחניכיים תהיינה ללא כל דלקת או אבנית. יתרון נוסף הוא שבניגוד לחלק מכתרי החרסינה שבוצעו על מתכת זולה ופשוטה, כתרי זירקוניה אינם מחלידים לעולם, כיוון שאינם מכילים מתכת, ולכן לא יצבעו את החניכיים בכחול או בשחור, ולא יגרמו לדלקות חניכיים

יש סוגים רבים של זירקוניה – חשוב לבחור בזירקוניה שמצטיינת בחוזק, יופי, דיוק וכן מראה טבעי. כתרי הזירקוניה המועדפים עלי בזמן האחרון הם מתוצרת LAVA, Amann-Girrbach ו/או מחברת זירקון-זאן.

חשוב שגם הרופא וגם הטכנאי יהיו בעלי ניסיון ומיומנות שכן הטכניקה לביצוע כתרי זירקוניה שונה מזו של הכתרים "הרגילים". ניתן כיום גם לבצע מבנים וכתרים מזירקוניה אפילו לאחר השתלות לקבלת מראה טבעי.

החיסרון העיקרי של הזירקוניה – יקר יותר מאשר מתכת (בגלל העלות הגבוהה של חומר הגלם ושל הציוד המיוחד). ברוב המקרים ההוצאה כדאית, לכן אני ממליץ לשיניים קדמיות (באסתטיקה דנטלית – כל השיניים שנראות בקו החיוך של המטופל), ולאנשים בעלי חניכיים "בעייתיים", לבצע כתר ללא מתכת כלל (על גבי זירקוניה).

אפשרות אחרת לכתרים ללא מתכת, שגם הם מצטיינים בחוזק, בדיוק ובאסתטיקה הים כתרים מסוג E-MAX , שעשויים מחרסינה דחוסה וחזקה, בדר"כ בחריטה בעזרת תוכנת מחשב תלת מימדית, במעבדות מובחרות. *

ניתן לבצע כתר אחורי מזירקוניה מונוליטית – "טהורה", דהיינו ללא חרסינה כלל, אלא רק זירקוניה, שמבוצע בחריטה דיגיטלית, בעזרת מחשב.

כתר זה נחשב לא רק מדוייק ביותר, אסתטי ובריא לחניכיים, אלא גם חזק בהרבה מחרסינה שתהיה על מתכת כלשהי או על גבי זירקוניה  – בערך פי 40. כמו כן הינו פחות שוחק שיניים נגדיות מאשר חרסינה.

 

* לפי הוראות משרד הבריאות, הרופא חייב להסביר וכן לתעד את הרכב המתכות (הסגסוגת) שהוכן בכתר או בגשר שלך. יש הבדלים עצומים באיכות המתכות ו/או הזירקוניה, ויש חשיבות עצומה לא רק להשקיע בחומר איכותי יותר ובריא יותר, אלא גם שיבוצע בארץ עם פיקוח על המעבדות והרופאים. זאת לעומת כתר שבוצע במעבדה בסין, למשל.

* מומלץ לבקש מהרופא "כרטיס שיקום", שבו הרופא והמעבדה חותמים על הרכב המתכות או הרכב הכתר שהוכן לך,אשר למעשה זוהי התחייבות רשמית לגבי אחוז המתכות האצילות (זהב/פלטינה/פלדיום) או לגבי הזירקוניה / E-MAX וכו'.

* מומלץ לבקש תעודת אחריות ל-5 שנים לכתרים, שתלים וכו' 

(בכפוף לאחריות היצרן)

עוד